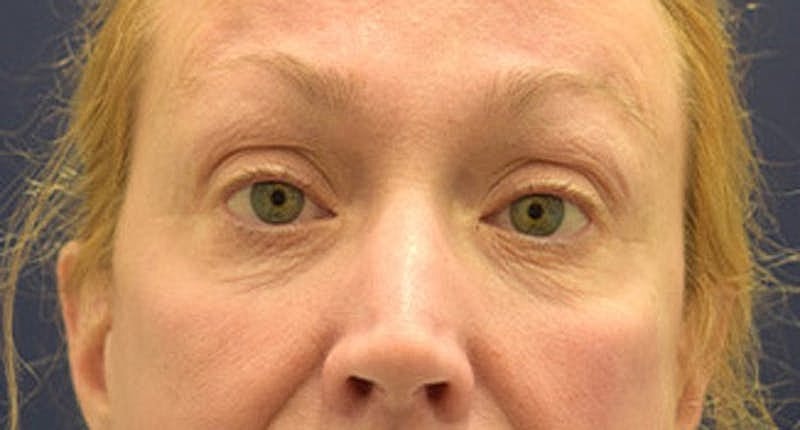
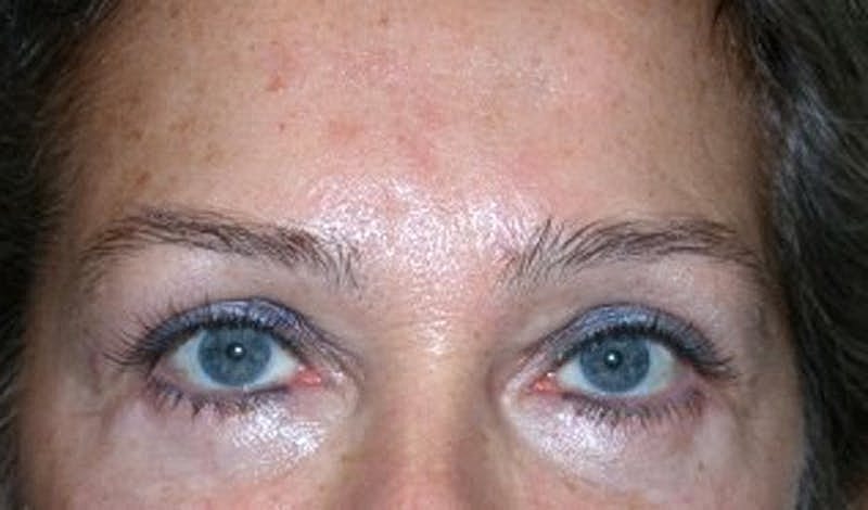
Wake up, wake up! This patient underwent endoscopic brow lift and upper and lower eyelid blepharoplasty with fat transfer to her cheeks to refresh the area around her eyes. She is photographed 5 months after her surgery. Individual results may vary.
This beautiful patient is 9 months reborn after upper lid lift, paired with a face and neck lift. She looks so much more herself than she did prior to surgery. She feels great! Individual results may vary.
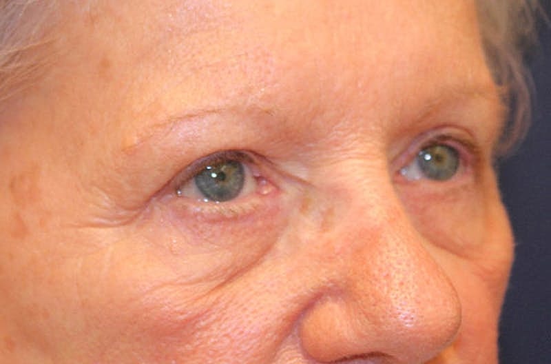
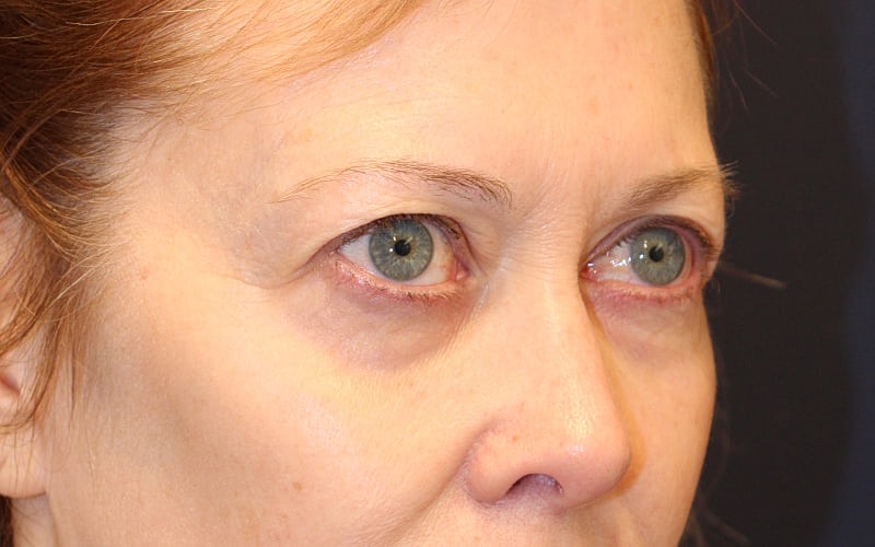
This woman underwent upper lid blepharoplasty and brow lift at the temple, with a subsequent lower lid blepharoplasty. She looks amazing 6.5 years after presentation! Individual results may vary.
This woman is photographed 10 months after her lower lid blepharoplasty. It is amazing how refreshed her face has become due to only a 1 hour lower lid surgery!
Individual results may vary.
This lovely patient desired some facial refreshing but did not want to undergo general anesthesia. She was considered to be a perfect candidate for upper lid surgery - blepharoplasty - under local anesthesia. She got a little Valium to help. She is photographed 6 weeks after her surgery. She looked good after about 1 week!
Individual results may vary.
This woman underwent lower lid blepharoplasty and facial fat transfer to refresh her face. She is photographed 8 months after her surgery.
Individual results may vary.
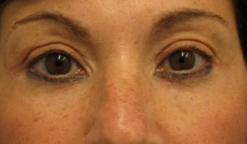
This woman underwent upper and lower eyelid surgery. She is photographed 11 months after her surgery.
Individual results may vary.
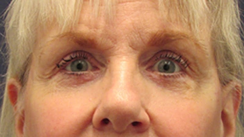
This woman underwent upper eyelid skin removal and neck liposuction. She looks more sculpted and refreshed less than 10 months later.
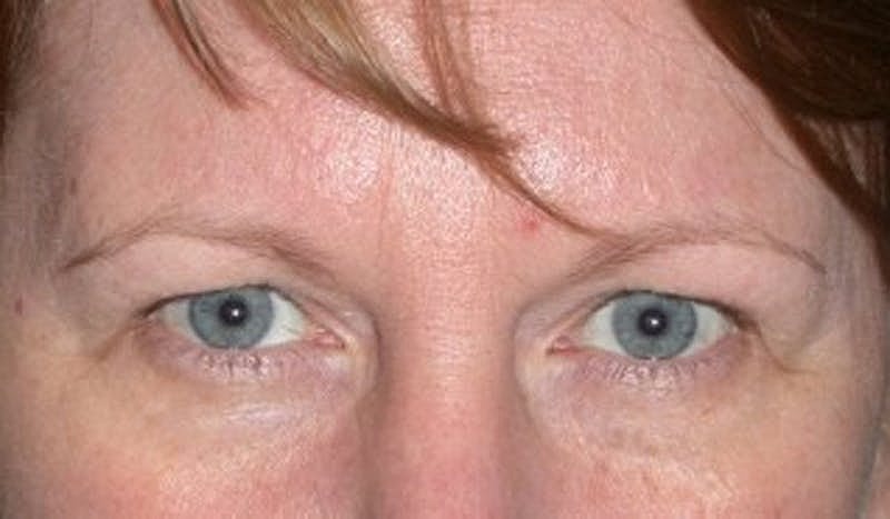
This woman underwent upper lid surgery under local anesthesia! Within an hour she was able to refresh her face by rejuvenating her upper eyelids reducing redundant skin and fat. She is photographed almost a year out.
This lady is photographed one year after endoscopic browlift and upper and lower eyelid blepharoplasty, looking so refreshed!

For all your plastic surgery and non-surgical aesthetic needs in Baltimore, Dr. Shermak is the ideal choice. With her extensive experience and expertise, she provides exceptional care and personalized treatments to achieve beautiful and balanced results. Dr. Shermak's commitment to enhancing your natural beauty ensures that you will be in the best hands for your aesthetic journey.
There was an error processing your form. Please try again later.
We'll get back to you as soon as possible.
Sitemap | Privacy Policy | Accessibility | Notice of Open Payment Database
