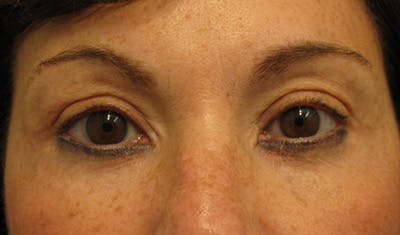
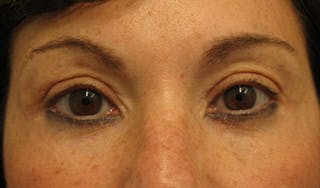
Patient 1
Wake up, wake up! This patient underwent endoscopic browlift and upper and lower eyelid blepharoplasty with fat transfer to her cheeks to refresh the area around her eyes. She is photographed 5 months after her surgery.
Individual results may vary.
Wake up, wake up! This patient underwent endoscopic browlift and upper and lower eyelid blepharoplasty with fat transfer to her cheeks to refresh the area around her eyes. She is photographed 5 months after her surgery.
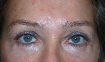
Patient 3
This woman underwent face and necklift with upper and lower lid blepharoplasty (eyelid tightening surgery). She looks refreshed at only 4 months!
Individual results may vary.
This woman underwent face and necklift with upper and lower lid blepharoplasty (eyelid tightening surgery). She looks refreshed at only 4 months!
Patient 4
This woman in her 60’s had upper and lower lid blepharoplasty and endoscopic browlift to refresh her face and open her eyes. Her look now better mirrors her carpediem lifestyle!
Individual results may vary.
This woman in her 60’s had upper and lower lid blepharoplasty and endoscopic browlift to refresh her face and open her eyes. Her look now better mirrors her carpediem lifestyle!
Patient 5
This 47-year-old woman with aging beyond her actual age was interested in facial refresher surgery. She proceeded with endoscopic brow lift and upper lid blepharoplasty.
Individual results may vary.
This 47-year-old woman with aging beyond her actual age was interested in facial refresher surgery. She proceeded with endoscopic brow lift and upper lid blepharoplasty.
Patient 6
This is a woman in her 60's interested in rejuvenating her look. Her appearance did not match her otherwise vibrant attitude. She had a blepharoplasty, endoscopic browlift and facelift, with some facial fat grafting. She is photographed 5 months after surgery.
Individual results may vary.
This is a woman in her 60's interested in rejuvenating her look. Her appearance did not match her otherwise vibrant attitude. She had a blepharoplasty, endoscopic browlift and facelift, with some facial fat grafting. She is photographed 5 months after surgery.
Patient 7
This is a woman in her 60's who was diagnosed with a superior visual field deficit from her heavy upper eyelid. She had functional upper eyelid blepharoplasty performed.
Individual results may vary.
This is a woman in her 60's who was diagnosed with a superior visual field deficit from her heavy upper eyelid. She had functional upper eyelid blepharoplasty performed.
Patient 8
This is a 60 year old woman who sustained significant weight loss, exacerbating her aging. She had a facelift, upper lid blepharoplasty (eyelid lift), and facial fat grafting to the lips and folds between the lip and nose (nasolabial folds). She is 10 months out from her surgery. Patient Age: 60
Individual results may vary.
This is a 60 year old woman who sustained significant weight loss, exacerbating her aging. She had a facelift, upper lid blepharoplasty (eyelid lift), and facial fat grafting to the lips and folds between the lip and nose (nasolabial folds). She is 10 months out from her surgery. Patient Age: 60












































































