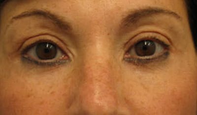
Patient 13
This woman in her 50's had upper and lower lid blepharoplasty. She has refreshed her look without dramatic change in her appearance, just turning back the clock.
Individual results may vary.
This woman in her 50's had upper and lower lid blepharoplasty. She has refreshed her look without dramatic change in her appearance, just turning back the clock.
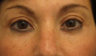
Patient 14
This woman in her 60’s had upper and lower lid blepharoplasty and endoscopic browlift to refresh her face and open her eyes, to match her upbeat spirit.
Individual results may vary.
This woman in her 60’s had upper and lower lid blepharoplasty and endoscopic browlift to refresh her face and open her eyes, to match her upbeat spirit.
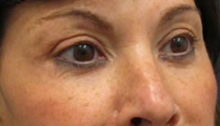
Patient 15
This 47-year-old woman was interested in facial refresher surgery. She proceeded with endoscopic brow lift and upper lid blepharoplasty. She is photographed 4 months after surgery.
Individual results may vary.
This 47-year-old woman was interested in facial refresher surgery. She proceeded with endoscopic brow lift and upper lid blepharoplasty. She is photographed 4 months after surgery.
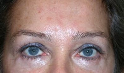
Patient 18
This woman presented to rejuvenate her eyes which were challenging with the excess lower lid skin at the cheek level. She underwent eyelid surgery of the upper and lower eyelids as well as facial fat transfer to freshen her look. She is photographed 8 months after surgery.
Individual results may vary.
This woman presented to rejuvenate her eyes which were challenging with the excess lower lid skin at the cheek level. She underwent eyelid surgery of the upper and lower eyelids as well as facial fat transfer to freshen her look. She is photographed 8 months after surgery.
Patient 19
This man was having visual disturbance from the excess skin of his upper eyelids. He underwent a functional upper lid blepharoplasty. Not only are his lids improved: so is the tension in the brows and forehead - since he is no longer straining to see.
Individual results may vary.
This man was having visual disturbance from the excess skin of his upper eyelids. He underwent a functional upper lid blepharoplasty. Not only are his lids improved: so is the tension in the brows and forehead - since he is no longer straining to see.
Patient 20
This woman underwent upper lid blepharoplasty in combination with face and necklift. She is photographed 5 months after surgery. She looks more rested and feels more herself.
Individual results may vary.
This woman underwent upper lid blepharoplasty in combination with face and necklift. She is photographed 5 months after surgery. She looks more rested and feels more herself.





















































































