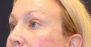
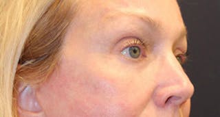
Patient 21
This is a woman who desired rejuvenation of her upper eyelids. She had upper lid blepharoplasty. She looks much more awake and upbeat.
Individual results may vary.
This is a woman who desired rejuvenation of her upper eyelids. She had upper lid blepharoplasty. She looks much more awake and upbeat.
Patient 22
This is a woman in her 40's who complained of looking tired all the time. She underwent upper and lower lid eyelid surgery and is photographed 4 months after her surgery.
Individual results may vary.
This is a woman in her 40's who complained of looking tired all the time. She underwent upper and lower lid eyelid surgery and is photographed 4 months after her surgery.
Patient 26
This is a 60 year old woman who sustained significant weight loss, exacerbating her aging. She had a facelift, upper lid blepharoplasty (eyelid lift), and facial fat grafting to the lips and folds between the lip and nose (nasolabial folds). She is 10 months out from her surgery. Patient Age: 60
Individual results may vary.
This is a 60 year old woman who sustained significant weight loss, exacerbating her aging. She had a facelift, upper lid blepharoplasty (eyelid lift), and facial fat grafting to the lips and folds between the lip and nose (nasolabial folds). She is 10 months out from her surgery. Patient Age: 60
Patient 27
This is a woman in her 60's who was diagnosed with a superior visual field deficit from her heavy upper eyelid. She had functional upper eyelid blepharoplasty performed.
Individual results may vary.
This is a woman in her 60's who was diagnosed with a superior visual field deficit from her heavy upper eyelid. She had functional upper eyelid blepharoplasty performed.
Patient 28
This is a woman in her 60's interested in rejuvenating her look. Her appearance did not match her otherwise vibrant attitude. She had a blepharoplasty, endoscopic browlift and facelift, with some facial fat grafting. She is photographed 5 months after surgery.
Individual results may vary.
This is a woman in her 60's interested in rejuvenating her look. Her appearance did not match her otherwise vibrant attitude. She had a blepharoplasty, endoscopic browlift and facelift, with some facial fat grafting. She is photographed 5 months after surgery.
Patient 29
This is a woman who underwent face and necklift with facial fat transfer and lower eyelid tightening. She is 8 months out from surgery, looking refreshed.
Individual results may vary.
This is a woman who underwent face and necklift with facial fat transfer and lower eyelid tightening. She is 8 months out from surgery, looking refreshed.








































































