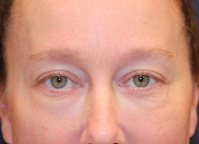
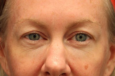
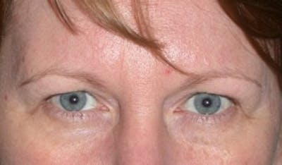
This woman presented to rejuvenate her eyes which were challenging with the excess lower lid skin at the cheek level. She underwent eyelid surgery of the upper and lower eyelids as well as facial fat transfer to freshen her look. She is photographed 8 months after surgery.







































