Patient 31
This woman in her 50's had a downturned look to her mouth. She had Dysport injected to depressor muscles below the lip to allow more of an upturned outer lip.
Individual results may vary.
This woman in her 50's had a downturned look to her mouth. She had Dysport injected to depressor muscles below the lip to allow more of an upturned outer lip.
Patient 32
This young woman underwent Dysport treatment and various stages of fillers, with treatment of her cheeks, nasolabial folds, marionette lines and nose, which had a bump and indentation on the right side. She also had Dysport treatment around her eyes. She is photographed 2 weeks after her last treatment.
Individual results may vary.
This young woman underwent Dysport treatment and various stages of fillers, with treatment of her cheeks, nasolabial folds, marionette lines and nose, which had a bump and indentation on the right side. She also had Dysport treatment around her eyes. She is photographed 2 weeks after her last treatment.
Patient 33
This woman underwent treatment of her cheeks with Restylane Lyft, 1 syringe to each cheek, and Jeauveau around the eyes and forehead. She is photographed 2 weeks later.
Individual results may vary.
This woman underwent treatment of her cheeks with Restylane Lyft, 1 syringe to each cheek, and Jeauveau around the eyes and forehead. She is photographed 2 weeks later.
Patient 34
I did this treatment for one of my staff literally 18 hours ago! Volbella 1 syringe (!) to soften the lip - note the reduction in fine lines around the mouth! - and no bruising. This is to demonstrate how fast turnaround is for injectables.
Individual results may vary.
I did this treatment for one of my staff literally 18 hours ago! Volbella 1 syringe (!) to soften the lip - note the reduction in fine lines around the mouth! - and no bruising. This is to demonstrate how fast turnaround is for injectables.
Patient 35
This woman underwent fill of her cheeks with one syringe (cc) of Voluma to each cheek. She is photographed 2 weeks after her treatment. Not only is there beautiful cheek fill, but also secondary lift along the jawline.
Individual results may vary.
This woman underwent fill of her cheeks with one syringe (cc) of Voluma to each cheek. She is photographed 2 weeks after her treatment. Not only is there beautiful cheek fill, but also secondary lift along the jawline.
Patient 36
This woman underwent upper and lower lip augmentation with Restylane Kysse, splitting one syringe between the upper and lower lip. She is photographed 1 month after treatment with a lovely, more sumptuous lip.
Individual results may vary.
This woman underwent upper and lower lip augmentation with Restylane Kysse, splitting one syringe between the upper and lower lip. She is photographed 1 month after treatment with a lovely, more sumptuous lip.
Patient 37
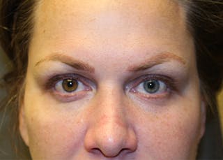
This young woman underwent tear trough filler with 1 syringe of Restylane split between the 2 sides. She is photographed 2 months later.
Individual results may vary.
This young woman underwent tear trough filler with 1 syringe of Restylane split between the 2 sides. She is photographed 2 months later.
Patient 38
This woman underwent augmentation of her mandible angle to improve the sculpted shape of her lower face. This treatment creates a thinner looking face and can help improve jowling in older patients.
Individual results may vary.
This woman underwent augmentation of her mandible angle to improve the sculpted shape of her lower face. This treatment creates a thinner looking face and can help improve jowling in older patients.
Patient 39
This woman underwent an upper "lip flip." Just 4 units injected to the upper lip, photographed 4 weeks later led to gentle increase in fullness of the upper lip.
Individual results may vary.
This woman underwent an upper "lip flip." Just 4 units injected to the upper lip, photographed 4 weeks later led to gentle increase in fullness of the upper lip.
Patient 40
This woman barely gets any sleep! (Can we relate?) She underwent treatment with Voluma to her cheeks, Kysse to her lips, Refyne to her nasolabial creases and Resylane to her tear troughs. She can't help but look refreshed!!
Individual results may vary.
This woman barely gets any sleep! (Can we relate?) She underwent treatment with Voluma to her cheeks, Kysse to her lips, Refyne to her nasolabial creases and Resylane to her tear troughs. She can't help but look refreshed!!







































































